 |
|
Les travaux d’Yves Lamarre ont révélé que le toucher et sa charge émotive sont perçus par deux systèmes nerveux indépendants. |
Le bébé naissant peut ressentir le plaisir affectif d’une caresse avant même de pouvoir discerner le toucher lui-même! C’est l’étonnante découverte qu’a faite une équipe de chercheurs, dont Yves Lamarre, du Groupe de recherche sur le système nerveux central à la Faculté de médecine.
L’équipe est en fait parvenue à déterminer la fonction d’un réseau de nerfs tactiles et de neurones corticaux qui serait spécialement destiné à nous faire ressentir la sensualité d’un toucher léger. «Les caresses activent un réseau nerveux propre à ce genre de contact comportant une charge émotionnelle», affirme Yves Lamarre.
Si l’on connaît assez bien les réseaux nerveux associés à différentes sensations tactiles comme le froid, le chaud, la douleur, la vibration, les touchers délicats ou plus marqués, on ignorait jusqu’à présent la fonction particulière d’un des réseaux de fibres fines dépourvues d’enveloppe de myéline et dites à conduction lente.
Ce réseau a d’abord été mis au jour chez le chat par des chercheurs suédois il y a cinq ans, mais il serait vraisemblablement présent chez la plupart des mammifères. Chez les êtres humains, Yves Lamarre et son collègue Hakan Olausson, de l’hôpital universitaire Sahlgrenska, en Suède, sont parvenus à démontrer que ces fibres, activées par des stimulations douces, légères et agréables, sont reliées à la zone corticale responsable de l’interprétation émotionnelle plaisante du toucher.
Le centre du plaisir
La découverte a été faite en soumettant une Montréalaise atteinte du syndrome de Guillain-Barré à des tests tactiles pendant qu’on observait l’activation de son cortex par résonance magnétique. Chez cette patiente, le syndrome de Guillain-Barré a détruit l’enveloppe de myéline de ses réseaux nerveux, la privant ainsi des sensations du toucher. Mais ses réseaux de fibres fines sans myéline sont demeurés intacts, ce qui lui permet de ressentir le chaud, le froid ou la douleur. Si quelqu’un lui serre la main par exemple, elle peut percevoir la température de cette main mais pas le contact de la main.
«Quand on lui a passé sur le bras un pinceau doux sans qu’elle soit en mesure de voir le geste, elle a pu détecter qu’il se produisait quelque chose dans 100 % des cas et décrire la sensation comme un frôlement léger et agréable», relate le professeur Lamarre. La dame ne pouvait par contre déceler ni le sens du mouvement, ni sa vitesse, ni la texture de l’objet utilisé, autant d’information relevant des réseaux de fibres à myéline.
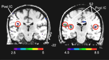
Chez les sujets d’un groupe témoin soumis à la même expérience, l’imagerie cérébrale a révélé deux zones d’activation neuronale étroitement liées, le cortex insulaire et l’aire somatosensorielle (voir l’illustration). Ces sujets étaient en mesure de décrire à la fois les caractéristiques objectives du toucher (vitesse, direction, force) et ses caractéristiques émotives associées au plaisir et à la sensualité. Chez la patiente montréalaise, seul le cortex insulaire était activé et elle ne pouvait que ressentir la valeur émotionnelle du toucher.
 |
|
À droite, l’imagerie cérébrale montre l’activation de l’aire somatosensorielle (S2) et du cortex insulaire (Post IC) chez un sujet normal en réponse à une caresse. À gauche, la même caresse n’active que le cortex insulaire — zone associée au plaisir du toucher — chez la patiente privée de sensations tactiles. |
«Ces deux zones sont donc responsables de fonctions différentes dans l’analyse du toucher», en conclut Yves Lamarre. L’aire somatosensorielle décode les aspects objectifs du geste et le cortex insulaire nous en fait éprouver l’intention ou la charge émotive. Le cortex insulaire est d’ailleurs activé lorsque des sujets sont soumis à des stimulus visuels évoquant l’amour romantique ou l’excitation sexuelle. Selon le chercheur, ceci montre l’importance du rôle des caresses et de la communication tactile dans les rapports amoureux.
Mais il y a plus. Les réseaux de fibres fines sans myéline, responsables de cette charge émotive, sont fonctionnels dès le huitième mois de la gestation alors que les grosses fibres à myéline ne se développent qu’après la naissance. Cela veut dire que le nouveau-né peut ressentir l’affection transmise par les caresses même s’il ne perçoit pas encore le toucher lui-même.
«Pour le bébé, ce réseau nerveux est le seul contact tactile avec le monde extérieur», souligne le chercheur. Plusieurs études ont démontré la portée des caresses et des soins affectifs pour les nouveau-nés; les travaux d’Yves Lamarre, publiés dans le numéro de septembre 2002 de la revue Nature Neuroscience, viennent d’en expliquer la mécanique.
Daniel Baril